An overview of cirrhosis

Share
An overview of cirrhosis

This is the eighth blog in a new series discussing pathologies that can be found in seniors. The eighth blog will focus on cirrhosis.

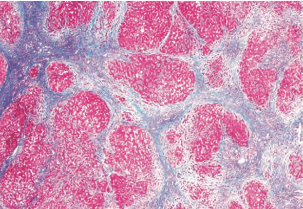
Cirrhosis is marked by the presence of nodules surrounded by dense bands of fibrosis throughout the liver. This converts the normally smooth liver capsule into a bumpy surface with areas of scarring.

There are numerous causes of cirrhosis. Some of the most common include hepatitis B, hepatitis C, and biliary diseases,. Others include hemochromatosis (iron accumulation), Wilson disease (copper accumulation), cystic fibrosis, and infections. Regardless of its cause, cirrhosis is a risk factor for hepatocellular carcinoma.

The fibrosis in cirrhosis gradually impairs liver function. It can lead to complications such as portal hypertension, jaundice, and hepatic encephalopathy. In portal hypertension, scar tissue disrupts blood flow through the liver. This causes increased pressure in the portal vein and other blood vessels in the abdomen. The accumulation of bilirubin, a yellow pigment produced by the breakdown of red blood cells, can lead to yellowing of the skin and eyes (jaundice) in individuals with cirrhosis. Finally, in hepatic encephalopathy, the buildup of toxins in the bloodstream, which the damaged liver cannot effectively remove, can impair brain function and lead to symptoms such as confusion, disorientation, and in severe cases, coma.

The Boom Health app allows you to manage your loved one’s home care in one app and takes the stress out of organizing care. Download the app on the App Store or Google Play Store.

This article is not intended to be a substitute for professional medical advice or diagnosis. Always seek the advice of your physician or another qualified health provider with any questions you may have regarding a medical condition.

Read more