An overview of drug-induced gingival enlargement

Share
An overview of drug-induced gingival enlargement

This is the first blog in a new series discussing pathologies that can be found in seniors. The first blog will focus on drug-induced gingival enlargement.

Drug-induced gingival enlargement (DIGE) is a condition caused by calcium channel-modifying drugs such as cyclosporin-A, nifedipine, and phenytoin. It usually becomes evident within 3 months of taking the medications.

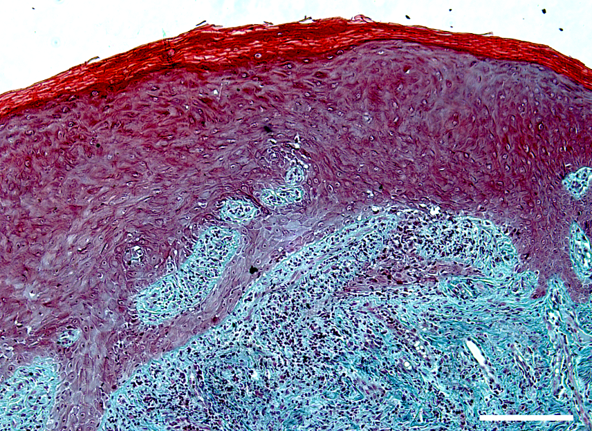
Although DIGE was previously classified as a plaque-mediated condition, recent evidence suggests it is a fibrotic condition. Fibrosis is defined by the overgrowth, hardening, and/or scarring of various tissues. It is attributed to excess deposition of extracellular matrix components including collagen. The predominant type of infiltrating inflammatory cell is the plasma cell, which produces antibodies to fight infections.

DIGE causes changes in the composition of the extracellular matrix, the number of cells, and the type of cells. Most DIGEs appear to be clinically indistinguishable from each other. The condition can range from mild to severe and may lead to aesthetic concerns, difficulty in proper oral hygiene maintenance, discomfort, and even functional impairment in severe cases.

Management typically involves discontinuation or modification of the causative medication, along with professional dental treatment such as gingivectomy (surgical removal of excess gum tissue) in severe cases. Maintaining good oral hygiene practices and regular dental check-ups are also important in managing and preventing further progression of the condition.

Love them without losing yourself. The Boom Health app helps you manage your loved one’s home care in one app. Download the app from the App Store or Google Play Store.

This article is not intended to be a substitute for professional medical advice or diagnosis. Always seek the advice of your physician or another qualified health provider with any questions you may have regarding a medical condition.

Read more